Bleichen

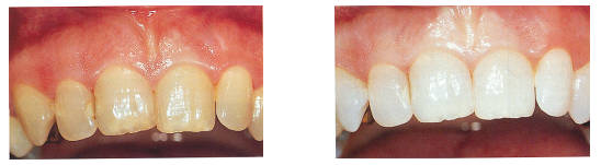
Durch Bleichen oder auch Bleeching kann die natürliche Zahnfarbe aufgehellt werden. Dies geschieht durch starke Oxidationsmittel vergleichbar mit dem Bleichen von Haaren.

Prinzipiell unterscheiden wir zwei Verfahren:

1. Bleichen devitaler Zähne

Nach einer Wurzelbehandlung kann es zu unschönen Verfärbungen der Zähne kommen. In einem solchen Fall besteht die Möglichkeit durch ein in den Zahn eingebrachtes Bleichmittel eine Aufhellung zu erzielen.

2. Bleichen vitaler Zähne

Oft wünschen Patienten sich hellere Zähne. Um dies zu erreichen können Bleichmittel mit Hilfe einer laborgefertigten Schiene von außen auf die Zahnoberfläche aufgebracht werden. Dies kann entweder in der Praxis oder mit schwächeren Mitteln zu Hause über Nacht geschehen. Falls nötig sind so auch sehr starke Aufhellungen möglich. Vereinzelt kann es zur Sensibilisierung von überempfindlichen Zahnhälsen kommen, was sich jedoch mit geeigneten Präparaten gut behandeln läßt.  

[Index] [Home]